Предлагаем Вашему вниманию некоторые работы наших докторов в Стоматологическом центре Бутово!

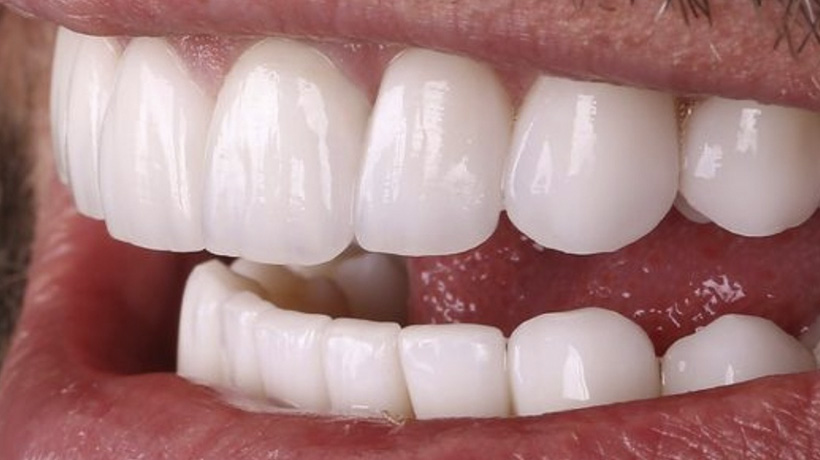
Виниры и коронки

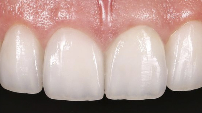
Виниры

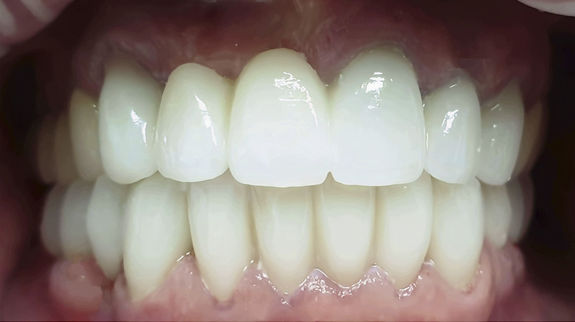
Коронки из диоксида циркония

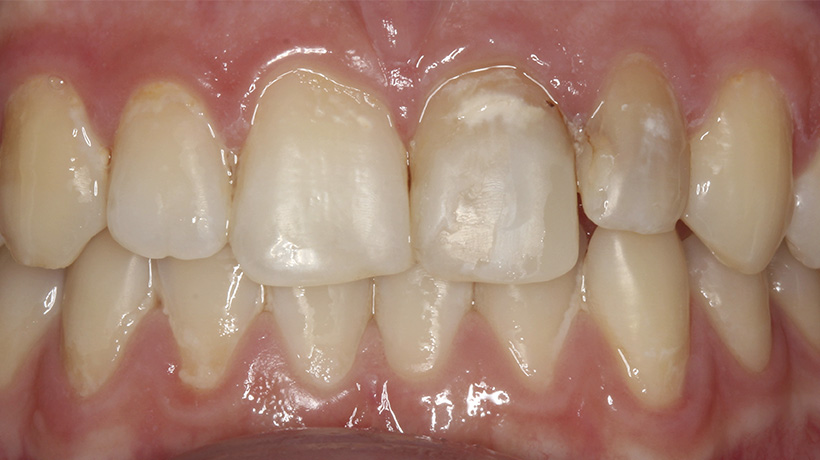
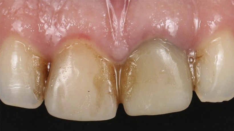
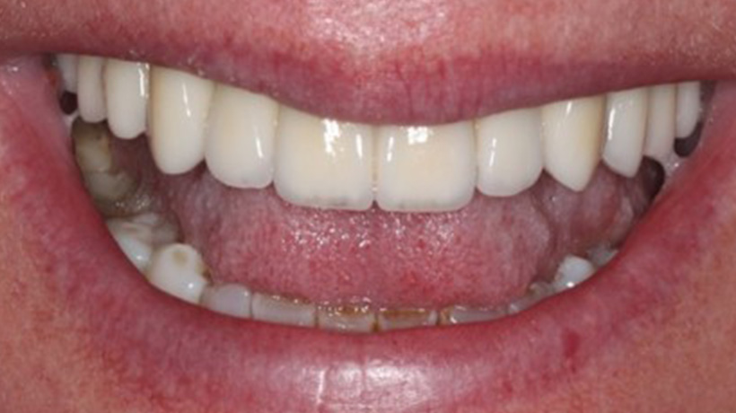
До и после

Керамические реставрации

Перемещение зуба на место удалённого

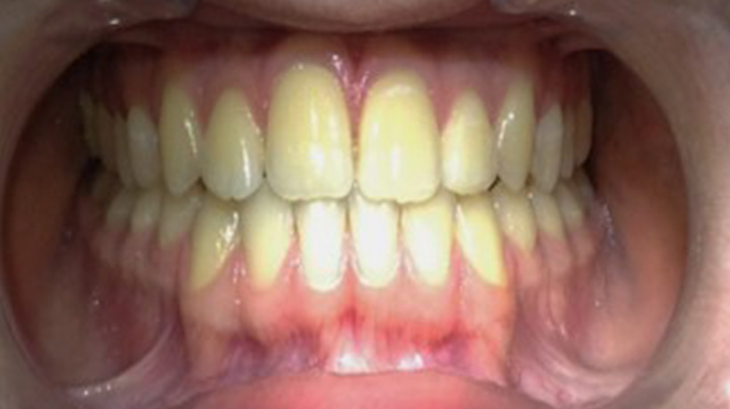
Протезирование и отбеливание

Протезирование и реставрации

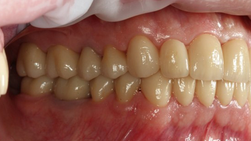
Протезирование на имплантах

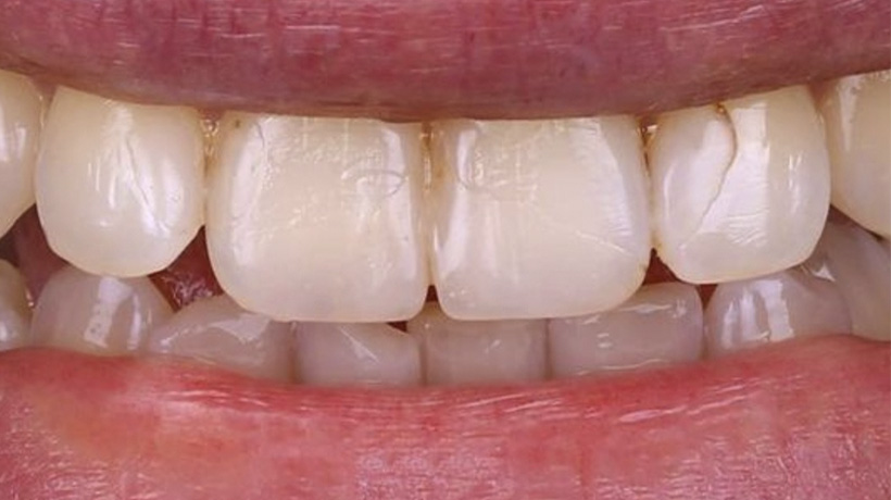
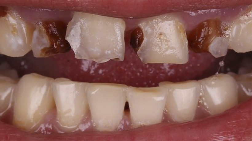
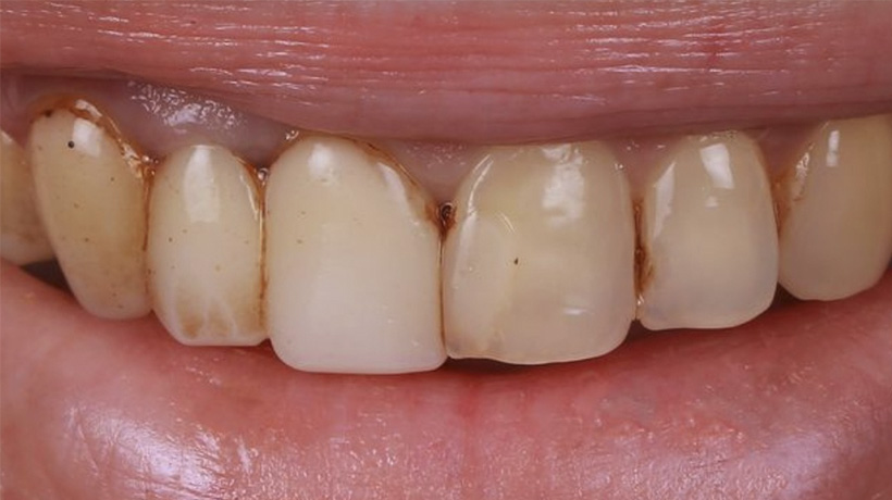
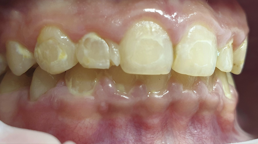
Реставрация

Ретинированные клыки

Создание места для прорезывания зуба

Циркониевые коронки

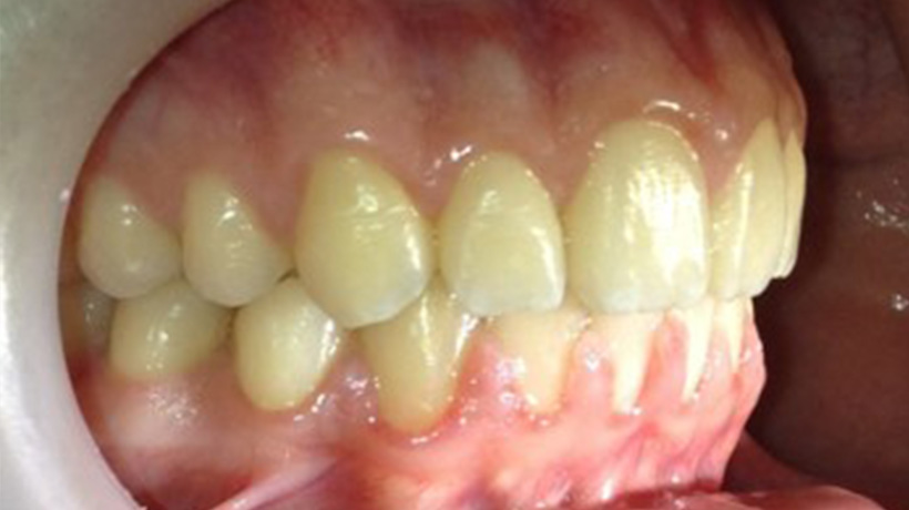
Коррекция прикуса

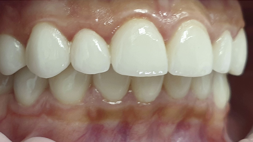
Коррекция прикуса

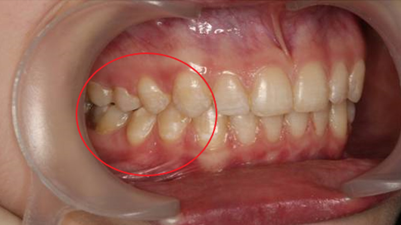
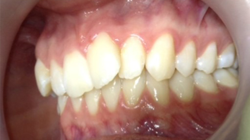
Лечение перекрестного прикуса

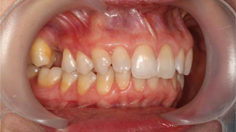
Ортодонтическое лечение

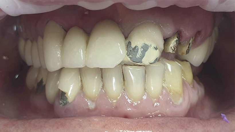
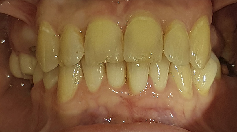
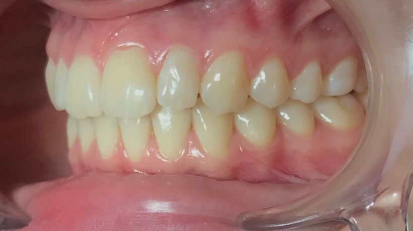
Тотальное протезирование

Тотальное протезирование

Контактная информация

info@novogilov.ru

+7 (495) 004-01-44
Whatsapp

Мы находимся

Стоматологический центр Бутово
г. Москва, ул. Куликовская, д.7

Мы работаем

Ежедневно с 9 до 21


Акция Отбеливание
×
Запись на консультацию в клинику Online
×

Запись на консультацию



Пожалуйста, заполните требуемые поля